Casos Clínicos
Implantologia

Prótese fixa sobre implantes

Prótese fixa sobre implantes

Reabilitação bi-maxilar com recurso a implantes dentários
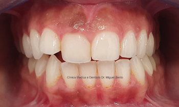
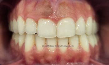
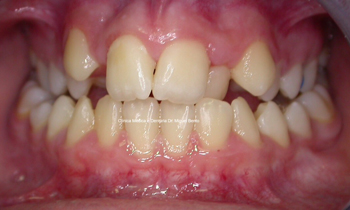
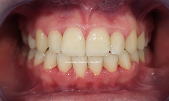
Ortodontia

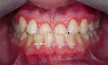
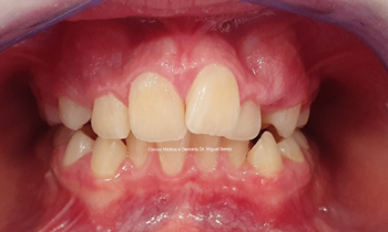
Caso 1 – antes

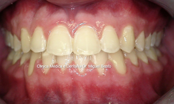
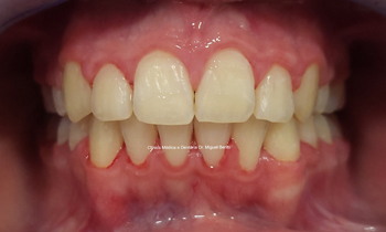
Caso 1 – depois

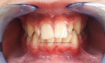
Caso 2 – antes

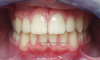
Caso 2 – depois

Caso 3 – antes

Caso 3 – depois (tratamento efetuado com recurso a aparelho transparente / alinhador)

Caso 4 – antes

Caso 4 – depois

Caso 5 – antes

Caso 5 – depois
Prótese Dentária

Prótese removível – prótese acrílica

Prótese removível – prótese esquelética

Prótese fixa – ponte em zircónio sobre implantes

Prótese fixa – coroa em zircónio
